Fortpflanzungsmedizin/Gynäkologie

Gerne helfen wir Ihnen bei allen Belangen der Betreuung von Zuchtstuten. 

 

Wir führen Follikelkontrollen per Ultraschall durch, die Entnahme von Tupferproben und nötigenfalls die Behandlung der Stute, Uterusbiopsien, Besamungen und Trächtigkeitsuntersuchungen mit Ultraschall ab Tag 16 nach Besamung. Ab Tag 23 kann der Herzschlag des Embryos zuverlässig dargestellt werden, wir helfen Ihnen beim Management einer Zwillingsträchtigkeit, Anzeichen einer Trächtigkeitstörung wie vaginaler Ausfluss, frühzeitiger Euteranbildung oder Kolik.

 

Falls Sie aus Ihrer Stute ein Fohlen haben möchten, können Sie sich gerne an uns wenden - auch wenn Sie selbst züchterisch noch keine Erfahrung gesammelt haben. 

 

Trächtigkeit: Fruchtblase eingenistet

 

Trächtigkeit: Embryo mit Nabelschnur

 

Trächtigkeit: Embryo mit Nabelschnur

 

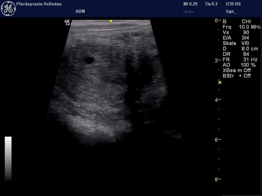
Ultraschallbild: Uterus mit Rosseanzeichen (Radspeichen)

 

Ultraschallbild: Trächtigkeit mit Zwillingsanlage

 

Ultraschallbild: Endometriumszyste (Gebärmutterzyste)

 

Deckverletzung

 

Harztropfen als Anzeichen einer bevorstehenden Geburt

 

Nachgeburt

Druckversion | Sitemap
© Bernadette Bracher